Lexington, MA, October 29, 2024 – FUJIFILM Healthcare Americas Corporation, a leading provider of diagnostic and enterprise imaging solutions, announced the launch of the Version 10 (v10) suite of innovations for ECHELON Synergy 1.5T MRI system. ECHELON Synergy v10 deploys several cutting-edge technologies, including Synergy DLR Clear, Synergy Vision with StillShot and automated scanning process enhancements.
A recent study found 15-20% of MRI scans require re-scan due to patient motion. Synergy Vision, now available for ECHELON Synergy MRI, combines multiple in-bore cameras with StillShot artificial intelligence (AI) to mitigate the impact of motion artifacts. StillShot applies AI to correct motion-compromised raw data, referencing real time motion tracking collected during the scan. Instead of repeating the acquisition, motion can be corrected, providing clearer, more diagnostic images. StillShot helps to streamline workflow for the technologist and provide a better experience for the patient.
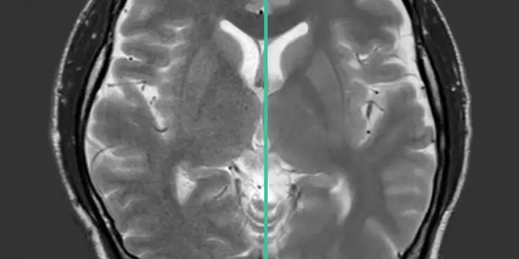
The ”Gibbs” or “truncation” artifact has long been an image quality issue with MRI. Radiologists dealt with it or were compelled to call for longer scan time sequences to address it. Synergy v10 brings DLR Clear, a new AI based algorithm to address the truncation artifact, producing images with mitigated artifact without a scan time extension.
“Radial scanning in MRI serves as a common approach to address patient motion, but the technique faced challenges in certain circumstances from unique artifacts. Fujifilm’s v10 software enhancement was designed to help address these challenges,” said Shawn Etheridge, executive director, modality solutions marketing for FUJIFILM Healthcare Americas Corporation. “With v10, technologists can now apply our RADAR radial sequence with our iterative iRCM IP-Recon processing to mitigate spike artifacts, resulting in clear, high-quality images with reduced motion artifact”.
Deep Learning enhanced AutoPose for breast, hip and spine application are added with ECHELON Synergy’s v10. AutoPose automatic slice selection, combined with expansion to whole body application for the AutoSet automated table movement capability, and AutoStart automatic scan start on door closure can save operator steps, enable reduced total exam times, and allow technologists to better focus on patients.
Fujifilm will provide v10 software standard features to current customers at no charge as part of its unique post sales relationship.
For more information about the ECHELON Synergy MRI system, please visit the product page.
About Fujifilm
FUJIFILM Healthcare Americas Corporation is a comprehensive healthcare company that has an extensive range of technology and expertise in the detection, diagnosis, and treatment of diseases. Fujifilm’s innovative portfolio includes solutions spanning diagnostic imaging, enterprise imaging, endoscopic imaging, surgical imaging, and in-vitro diagnostics. The company is headquartered in Lexington, Massachusetts. For more information, please visit healthcaresolutions-us.fujifilm.com.
FUJIFILM Holdings Corporation, headquartered in Tokyo, leverages its depth of knowledge and proprietary core technologies to deliver innovative products and services across the globe through the four key business segments of healthcare, electronics, business innovation, and imaging with over 70,000 employees. Guided and united by our Group Purpose of “giving our world more smiles,” we address social challenges and create a positive impact on society through our products, services, and business operations. Under its medium-term management plan, VISION2030, which ends in FY2030, we aspire to continue our evolution into a company that creates value and smiles for various stakeholders as a collection of global leading businesses and achieve a global revenue of 4 trillion yen. For more information, please visit: www.fujifilmholdings.com.




